Provisorischer Zahnersatz ist ein wesentlicher und wichtiger Zwischenschritt auf dem Weg zu ihrer endgültigen Prothetischen Versorgung. Mit Hilfe der Provisorien, ob Kronen, Brücken, oder Implantatkronen/brücken, etc., können wichtige Punkte, wie z. B. die funktion, die Form, die Ästhetik, sowie die Akzeptanz ihrer neuen Zähne ohne Probleme getestet werden.

Erst wenn all diese Punkte zufriedenstellend gelöst sind, wird der endgültige Zahnersatz hergestellt. Die bis dahin getestete provisorische Versorgung wird dabei in die finale Prothetik übertragen.
Diese Vorgehensweise bietet sich gerade bei großen und komplexen, oder funktionellen Rehabilitationen an.
Unser Labor arbeitet während dieser Phase teilweise mit diverse Fachgruppen (Osteopathen, Physiotherapeuten, HNO Ärzten, Internisten etc.) zusammen.
Begleitend findet dabei eine ausführliche Fotodokumentation statt.

Ein Abdruck und das daraus entstandene Modell werden so vorbereitet, dass im zahntechnischen Labor eine erste Form der neuen Versorgung hergestellt werden kann. Dabei werden die Zähne auf dem Gipsmodell nur ganz wenig reduziert. Darüber entsteht dann eine Form die der Zahnarzt nach der Präparation mit Kunststoff unterfüttern kann und auf die beschliffenen Zähne anpasst.
Grundsätzliche Überlegungen zu dem nachfolgenden Fall.


Nach ausführlicher Anamnese und grundlegender Planung wurde für die erste Phase ein sog. Eierschalenprovisorium hergestellt. Mit dessen Hilfe konnte der Zahnarzt bereits in der ersten Sitzung (Entfernen der alten Kronen/Brücken - Chirurgie) relativ einfach, ein sehr gutes, erstes Provisorium herstellen.

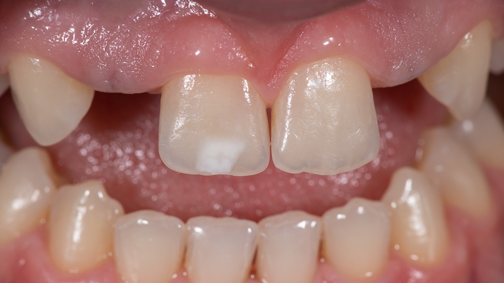
Am Beginn der Behandlung stand der unbedingte Wunsch der Patientin nach einer Verbesserung der Zahnfleischsituation.

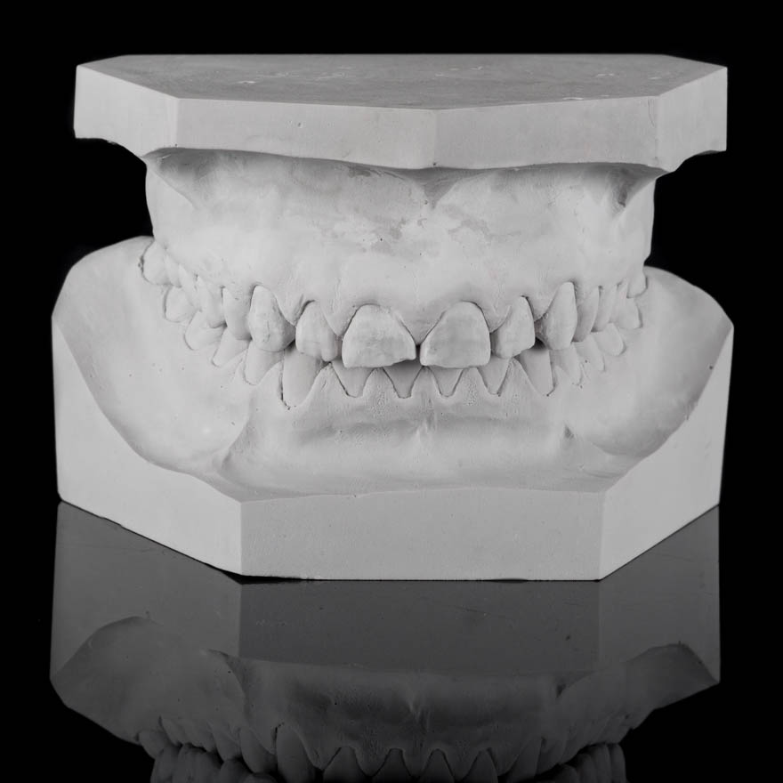
Nach der Modellanalyse konnten wir einen guten Spielraum für die Neuanfertigung sowohl beim Überbiss, als auch beim Vorbiss feststellen.

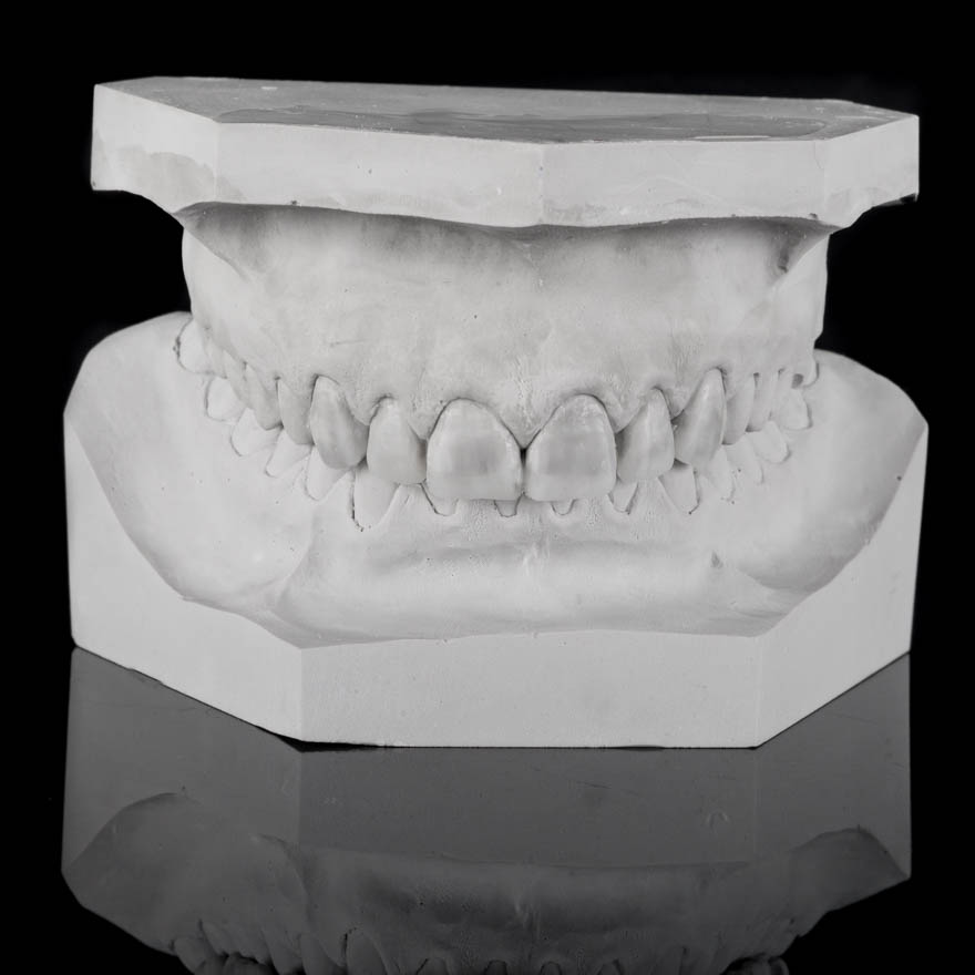
Abeitsmodell zur Herstellung des Langzeitprovisorium.

Oberkieferübertragung mit einem Plane Finder. Horizontale und vertikale Ebenen werden so in den Artikulator übertragen.

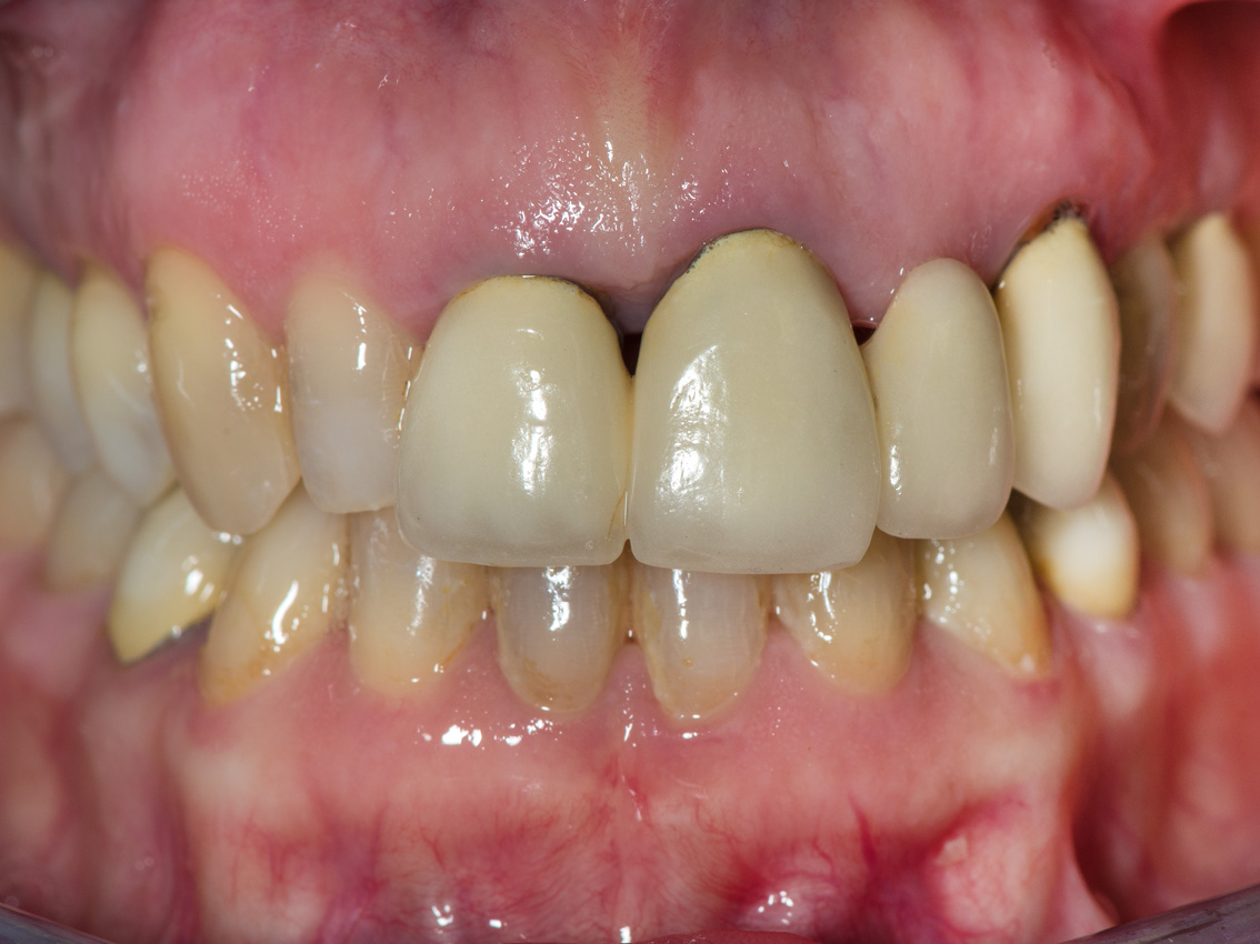
Nach der ersten Behandlung. Im Bereich des fehlenden Zahns wurde bereits das Zahnfleisch präpariert und das Zwischenglied entsprechend angepasst.

Für die erste Sitzung wurde im Labor ein Eierschalenprovisorium angefertigt.
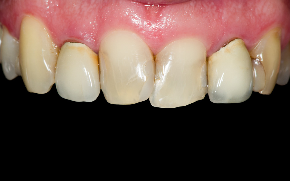
Nach Abschluss der chirurgisch/prothetische Maßnahmen in der Praxis, konnte dann im Labor ein zweites, hochwertiges Langzeitprovisorium hergestellt werden.
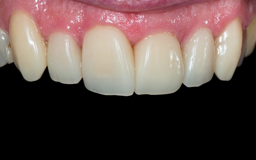
In diesem detailliert dargestellten Fall sehen sie wie mit guter Planung und kleinen chirurgischen Eingriffen aus einem scheinbar sehr schweren Frontzahnschaden, schöne Zähne und gesundes Zahnfleisch entstehen können.

Das Langzeitprovisorium ersetzt das für die die Erstversorgung verwendete Eierschalenprovisorium.

Mit der neuen Versorgung finden die chirurgischen Maßnahmen ihren Abschluss und das Zahnfleisch kann verheilen.

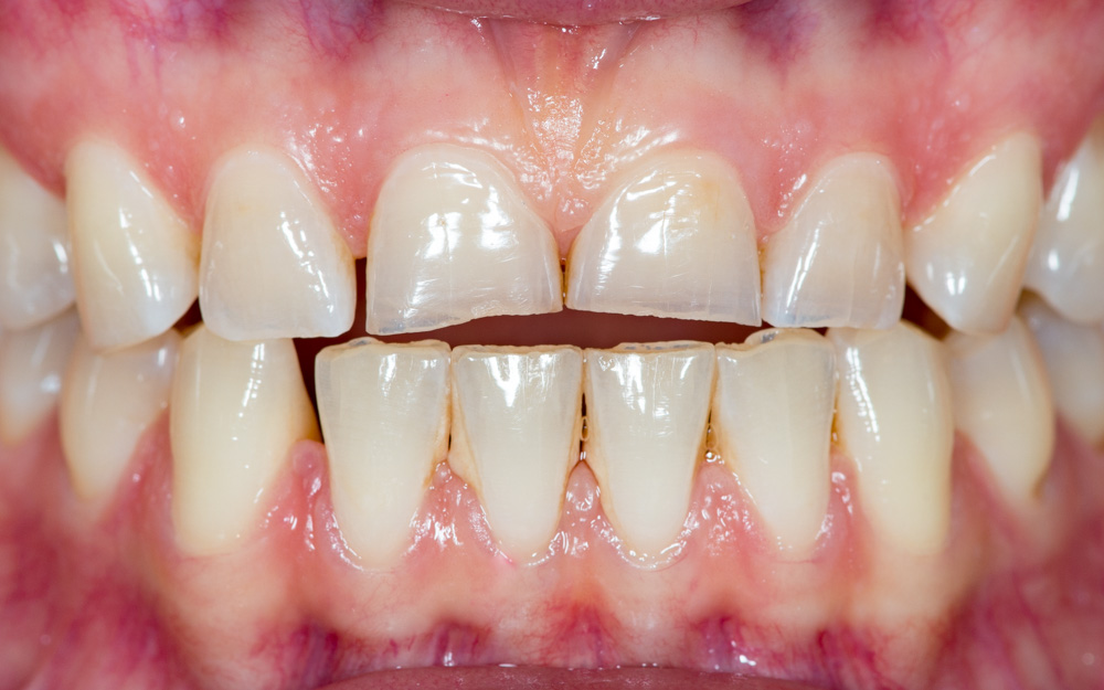
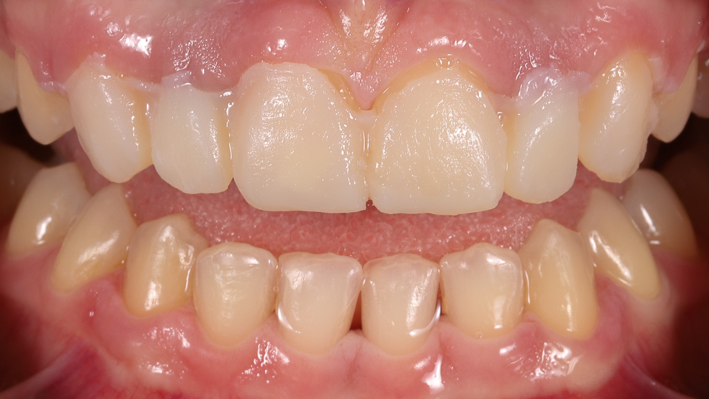
Gut sichtbar wie perfekt der ersetzte Zahn nun aus dem Zahnfleisch zu wachsen scheint.

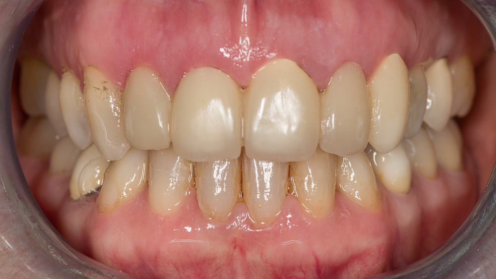
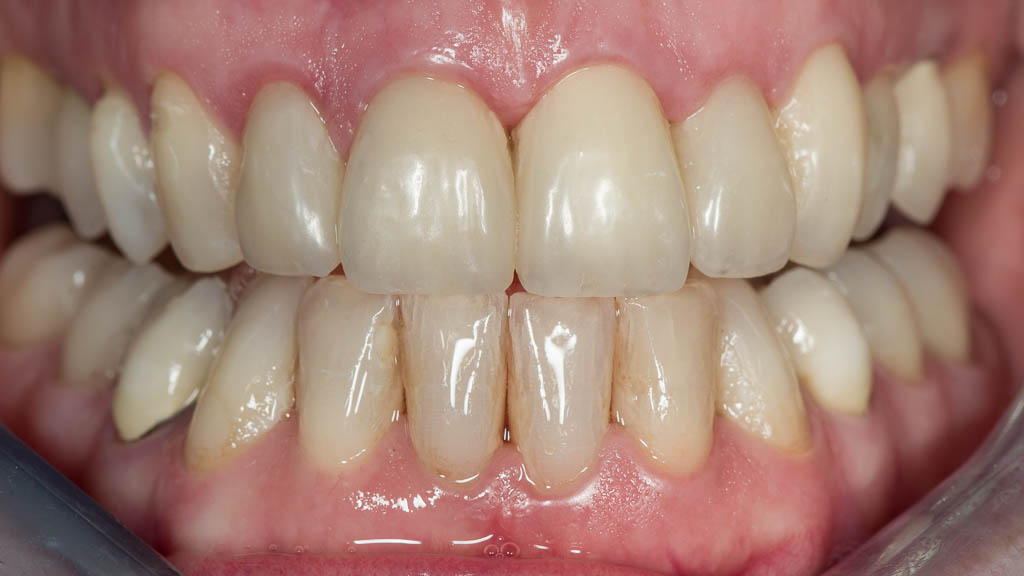
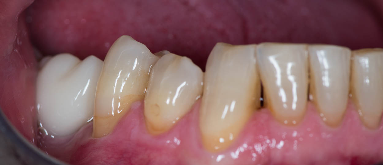
Die fertige Versorgung - Zirkonbrücke. Das Zwischenglied ist so gestaltet, dass der basale Anteil aus hochglanzpoliertem Zirkon besteht.

Die fertige Zirkonbrücke in Bezug zu dem Zahnfleisch.

Gut zu sehen wie sich das Zwischenglied ins Zahnfleisch einlagert..
Sind Zähne z. B. durch Längenwachstum (ausgelöst durch einen fehlenden Antagonisten/Gegenzahn) aus der Zahnreihe gewandert, entstehen meistens funktionelle Blockaden. Bevor der neue Zahnersatz angefertigt wird, müssen diese behandelt werden. Anstatt einen solchen gewanderten Zahn entfernen oder überkronen zu lassen, können in vielen Fällen mit kieferorthopädischen Maßnahmen bessere Ergebnisse erzielt werden.



Ebenfalls in der provisorischen Phase kann ein sog. "Mock-up" seine Anwendung finden. Mit Hilfe des Mock-up´s lässt sich für den Patienten sein zukünftiges Aussehen visualisieren. Dabei ist das Mock-up ein reversibles Tool, welches jederzeit wieder entfernt werden kann, ohne dabei Schäden am Zahn zu hinterlassen.
Bei uns finden zwei Methoden ihre Anwendung:
Im Zahntechnischen Labor wird auf einem Modell die zukünftige Situation aufgewachst (beim virtuellen Wax-up wird anschleißend ein Print Modell erstellt) und anschließend ein Presstempel über diese Situation angefertigt. Mit Hilfe dieses Pressstempels kann der Zahnarzt das Mock-up dann direkt im Mund auf die Zähne aufpressen.

Vor Beginn der Behandlung - die kleinen Schneidezähne sind implantiert.
Matrix zum direkten aufpressen Chairside.
Chairside gepresstes Mock-up.
Chairside gepresstes Mock-up.
Alternativ zum direkten Mock-up beim Zahnarzt, kann im Labor ein digitales Mock up erstellt und anschließend gefräst werden. Dabei bedarf es jedoch hinterher manueller Nacharbeit durch einen Zahntechniker.

Notfalllösung für unangenehme Situationen. Mit einer Ersatz- oder Reiseprothese sind sie auf alle Fälle vorbereitet.
Eine Ersatz- oder Reiseprothese ist eine Sicherheitslösung für unangenehme Situationen.
Sollte ihre definitve Versorgung einmal repariert werden müssen, oder sogar verloren gehen, so haben sie immer eine Zweitprothese zur Verfügung.
Form, Aussehen und Farbe entsprechen dabei genau ihrer hochwertigen Versorgung. Lediglich die Verankerung erfolgt über eine einfachere Variante. Die Zweit- oder Reiseprothese kann dabei aber ohne Einschränkungen auch über einen längeren Zeitraum getragen werden

Nach Fertigstellung der definitiven Versorgung wird mittels CAD eine Ersatz- oder sog. Reiseprothese entwickelt.
Das rohe CAM Gerüst wird aufgepasst, nachgearbeitet und anschließend wird der Prothesenkörper mit Kunststoff und Intensivfarben individualisiert .
Die Basis wird auf die Primärteleskope aufgepasst. Diese dienen im Mund zur Verankerung der Prothese.
Die Individualisierung mit Kunststoff und Intensivfarben schließt die Bearbeitung des Prothesenkörpers ab.
Die Ersatzprothese ist eine einfache Variante der eigentlichen Versorgung. Sie ist als eine Art Sicherheitslösung anzusehen.
Aussehen und Funktion entsprechen der definitiven Versorgung. Lediglich die Verankerung erfolgt ausschließlich über Kunststoff.
Bei größeren Implantatversorgungen empfiehlt es sich diese während einer provisorischen Phase zu testen. Hygienische, sowie funktionelle Aspekte können so individuell angepasst werden und später in den definitiven Zahnersatz übernommen werden.
Bei Versorgung mit sog. Bone Level Implantaten (Implantate auf Knochenniveau) dient die Provisorische Phase auch dazu das Zahnfleisch um den Austrittsbereich zu formen.
Erste Phase der Versorgung einer bedingt abnehmbaren Implantatversorgung. Dieser sog. Prototyp dient als Blaupause für die Herstellung der eigentlichen zahntechnischen Arbeit. Mit dieser, aus Kunststoff gefertigten Implantatversorgung kann der Patient testen, ob er mit seiner zukünftigen Versorgung zurecht kommt. Können die Implantate ausreichend gereinigt werden? Wie entwickelt sich das Zahnfleisch unter der basalen Auflage? Passt Ästhetik, Sprache und Funktion? Erst wenn diese Punkte zur Zufriedenheit aller gelöst sind, wird mit der definitiven Versorgung begonnen. Aus dem Prototypen wird hinterher eine Zweitversorgung, welche als Sicherheitslösung, bei möglichen Beschädigungen oder Reparaturen an der eigentlichen Versorgung, eingesetzt werden kann.




Für kleine Lücken, zum Ersatz von 1 oder 2 Zähnen, manchmal auch für mehr Zähne, bietet sich die Versorgung mit Prothesen an, welche mit Zahnfleischklammern befestigt werden.
Diese Art der Versogung ist angenehm zu tragen und kaum sichtbar, da keine Metallklammern verwendet werden.