Eine gestörte Beziehung vom Ober- zum Unterkiefer verlangt von der Muskulatur eine andauernde Kompensation. Die Folgen können sich in Verspannung und Schmerz wiederspiegeln. Nicht selten findet man die Ursachen weit entfernt vom eigentlichen Problem (Schmerz).
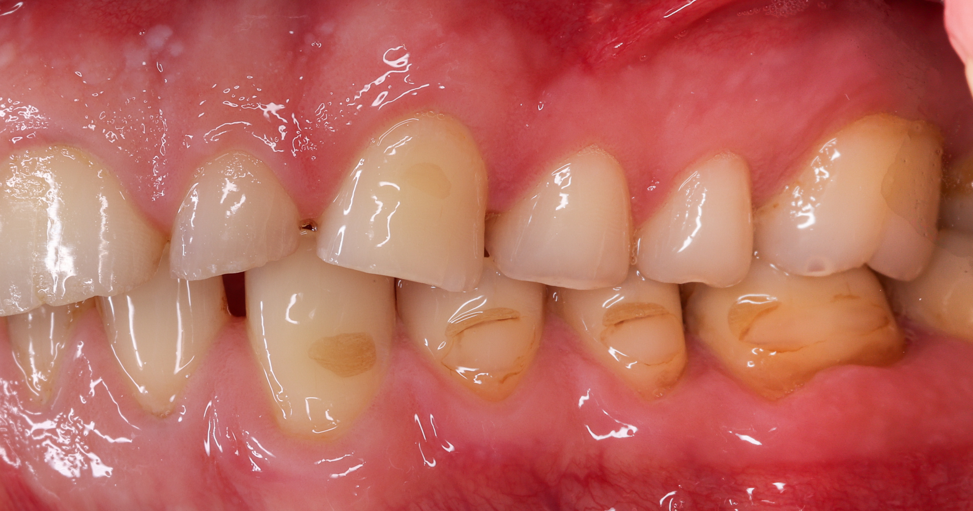
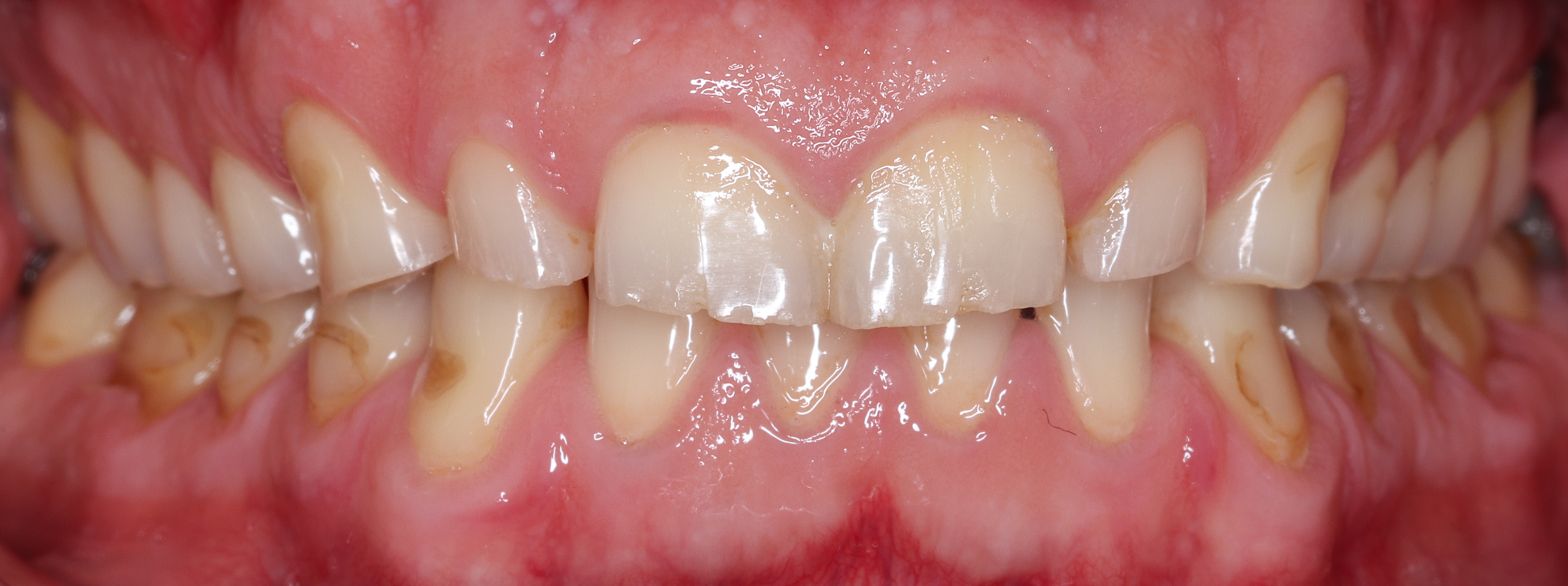
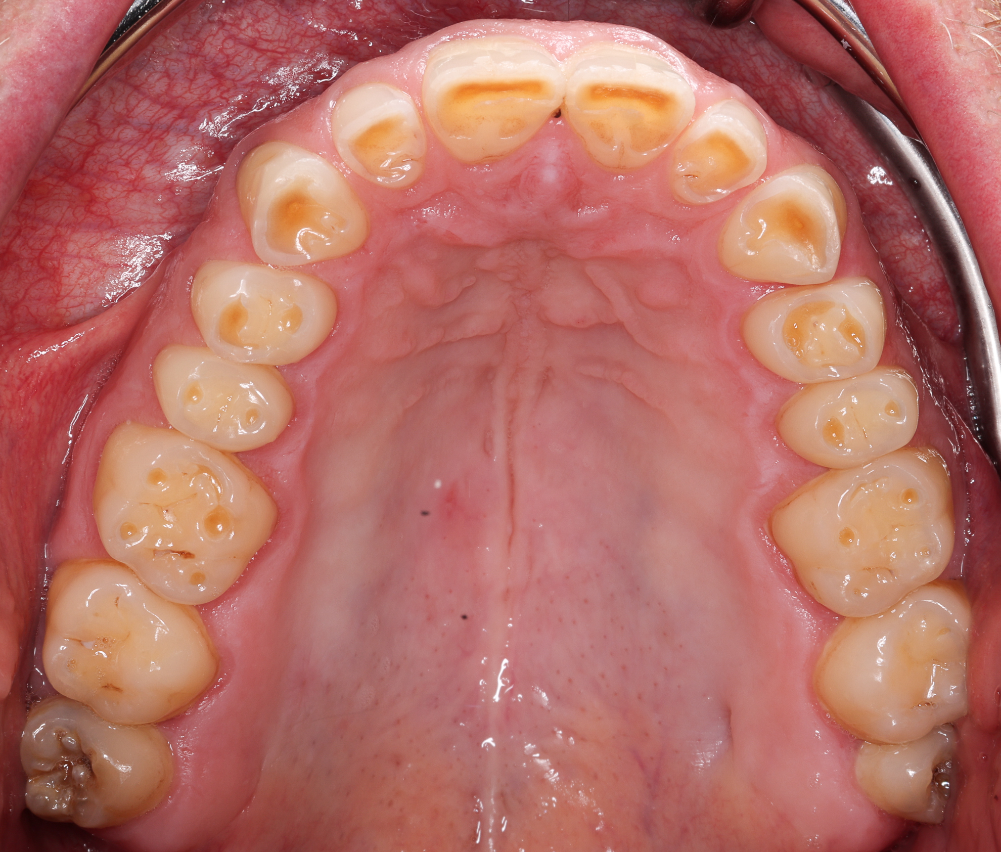
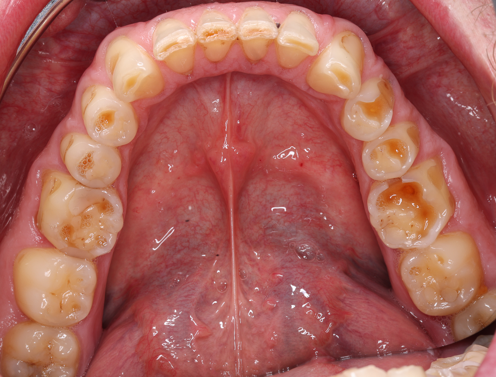
Vielfach ist ein schiefes Fundament, hierbei sprechen wir von Zahnreihen die eine schiefe Kauebene ausbilden, die Ursache dafür. Zahnverlust (unversorgtes Lückengebiss), in dessen Folge es zu Zahnwanderungen kommt, oder auch durch Kieferorthopädie eingestellte „Zwangsbisse“, können ebenfalls eine Ursache für diese Probleme sein.
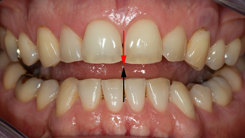
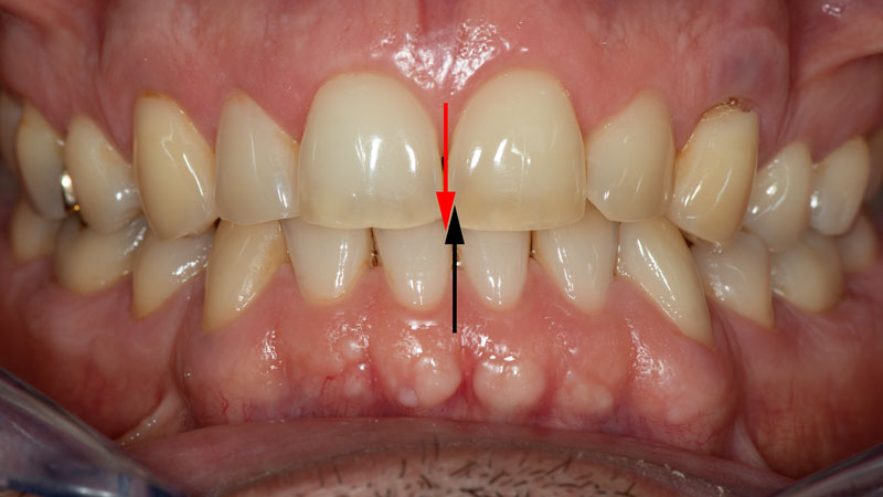
Die dabei entstehenden Störkontakte müssen dann bei jeder Kau- und Kieferbewegung permanent kompensiert werden. Im Laufe der Zeit, wenn der Körper nicht mehr kompensieren kann, können daraus vielfältige Problemen entstehen.
Der Kopf ist über die Wirbelsäule, die Muskeln und die Sehnen mit dem gesamten Körper verbunden. Funktionsstörungen im Mund und Gesicht können sich so auf den gesamten Körper übertragen. Umgekehrt können sich aber auch Probleme im Bereich der Gelenke und der Wirbelsäule auf die Zähne übertragen.
Die moderne Zahnmedizin und als deren Partner auch die Zahntechnik, hat daher in den letzten Jahren eine komplett neue Sichtweise auf diesen Bereich entwickelt.
Nicht selten müssen Probleme an den Zähnen im Team mit anderen Disziplinen, z. Bsp. Osteopathen oder Physiotherapeuten, HNO Ärzten, Augenärzten, Internisten und anderen Fachrichtungen behandelt werden.
Auf dieser Seite möchten wir ihnen gerne zeigen welche Abläufe sich bei uns etabliert haben und in welchen Schritten wir vorgehen.
Bei der Typisierung betrachten wir den Menschen insgesamt. Wie ist seine Körperhaltung? Wie steht er? Steht er aufrecht und gerade über dem Sprunggelenk? Dann sprechen wir von einer neutralen Stellung. Abweichungen davon, nach vorne oder nach hinten, klassifiziert man dann als sog. Front- oder Seitenzahntypus.





































