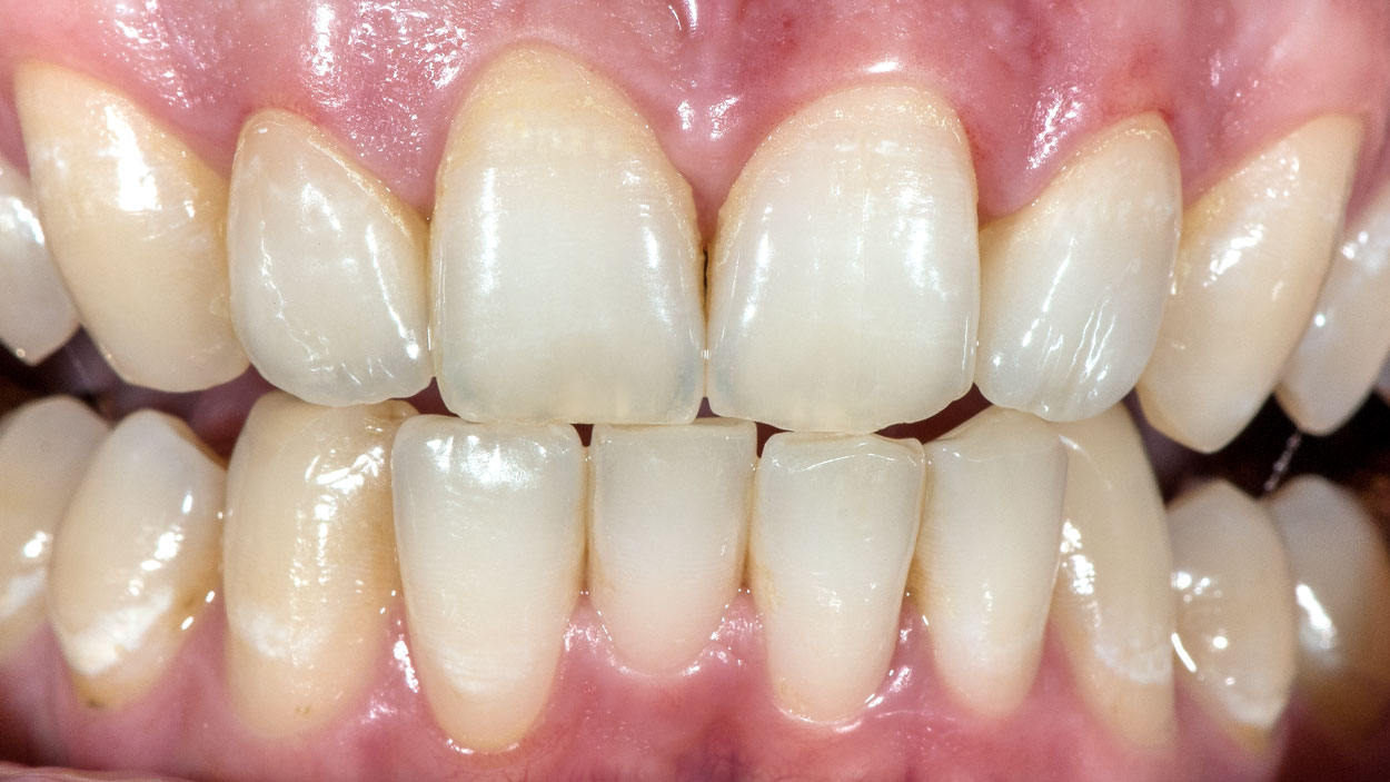
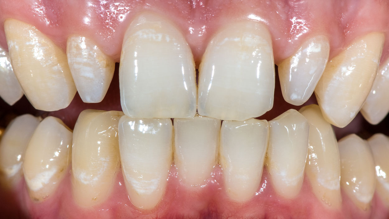
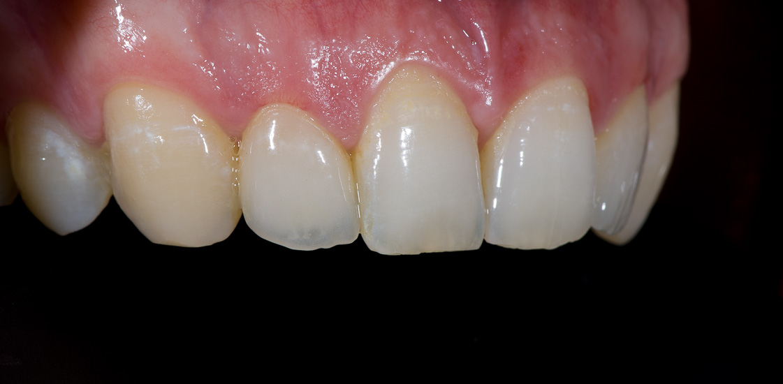
frontzahn veneers
schichtkeramik
Individuelle Schichtkeramik auf feuerfesten Stümpfen (Trägermaterial während des Herstellungsprozesses). Feinste, individuelle Farbabstimmung durch Verwendung unterschiedlich eingefärbter Keramikmassen.
mehr ...
Vollkeramik Werkstoffe werden von uns in Form von Schichtkeramik, z. B. für Keramikinlays auf feuerfesten Trägermaterialien, für Veneers/Laminates auf Platinfolie oder geschichtete Vollkeramische Kronen verwendet.
Eine weitere Möglichkeit bieten die sog. Presskeramiken. Dabei werden die Kronen, vollkeramischen Inlays oder Veneers, aus keramischem Material gepresst und anschließend in einem zweiten Arbeitsschritt mit keramischen Malfarben farblich charakterisiert.
Gute Ergebnisse erzielt man auch dadurch, wenn der Kern einer Krone vollkeramisch gepresst und die Individualisierung der Zahnfarbe mit Schichtkeramik aufgebrannt wird.
Die dritte Gruppe der vollkeramischen Werkstoffe ist Zahnersatz aus Zirkonoxid. Die Gerüste werden digital konstruiert und anschließend gefräst. Hierbei stehen mittlerweile eine Vielzahl an unterschiedlichen Materialien in verschiedenen Färbungen, Transluzenzen und Härten zur Verfügung.

Die optischen Eigenschaften, vor allem der geschichteten und auch der gepressten vollkeramischen Werkstoffe, liegen sehr nah am Erscheinungsbild natürlicher Zähne. Ein weiterer Vorteil vollkeramischer Werkstoffe besteht in der sehr guten biologischen Verträglichkeit. Für die Herstellung von ästhetisch anspruchsvollem Zahnersatz, insbesondere bei Frontzahnversorgungen, sind für uns diese Werkstoffe das Mittel der Wahl.
Wir verarbeiten Presskeramiken der Firmen Ivoclar (IPS e.max) und Hass (Amber Press & AmberPress LisiPOZ).

Individuelle Schichtkeramik auf feuerfesten Stümpfen (Trägermaterial während des Herstellungsprozesses). Feinste, individuelle Farbabstimmung durch Verwendung unterschiedlich eingefärbter Keramikmassen.
mehr ...Voll- und Teilkronen monolithisch gepresst aus Lithiumdisilikatkeramik. Anschließend in Maltechnik individuell charakterisiert und glasiert. Damit sind äußerst feste und stabile Versorgungen (vor allem auf Implantaten) möglich.
mehr ...

Keramische Aufbauten, Schalen, etc.. In allen möglichen Varianten zum Aufkleben auf unpräparierte Zähne (Non-Präp Technik). Die Herstellung kann in unterschiedlichen Techniken und mit unterschiedlichen Materialien erfolgen.
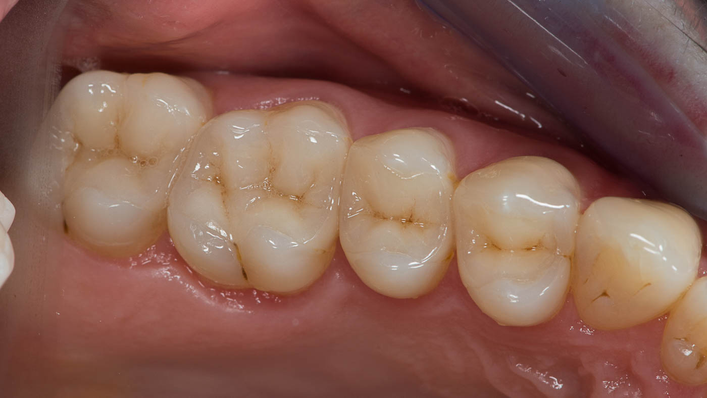
mehr ...Teilkronen und Inlays aus keramischen Werkstoffen sind heutzutage eine sehr beliebte Option für Zahnrestaurierungen. Keramische Werkstoffe haben den Vorteil, dass sie sehr ästhetisch sind und sich nahtlos in das natürliche Aussehen der Zähne einfügen. Sie sind außerdem sehr robust und widerstandsfähig.
mehr ...
Die Werkstoffpalette hat sich in den letzten Jahren kontinuierlich weiter entwickelt. Heute stehen uns eine Vielzahl neuer Werkstoffe mit ihren unterschiedlichen Materialeigenschaften zur Verfügung. Diese Werkstoffe werden von uns in Form von Schichtkeramik, z. B. für Keramikinlays auf feuerfesten Trägermaterialien, für Veneers, Laminates auf Platinfolie oder zum Aufbau vollkeramischer Kronen auf gepressten oder gefrästen Basen verwendet.
Vollkeramische Werkstoffe - Zirkonoxide. Mittels CAD-CAM Verfahren hergestellt und mit Schicht- oder Presskeramik individualisiert, bilden sie die Basis für Kronen- und Brückenversorgungen. In den letzten Jahren fand auf diesem Gebiet eine stetige Weiterentwicklung der zur Verfügung stehenden Zirkone statt, sodass heute auch hochtransluzente Materialien zur Verfügung stehen. Diese eignen sich hervorragend zur Rekonstruktion natürlich wirkender Zähne.
Anstelle von Zirkon können auch Presskeramiken zum Einsatz kommen. Ob vollanatomisch, bemalt oder mit geschichteten Aufbauten aus Keramik.
Dabei wird der Kern einer Krone oder auch eines Veneers vollkeramisch gepresst und die Individualisierung der Zahnfarbe mit Schichtkeramik aufgebrannt.
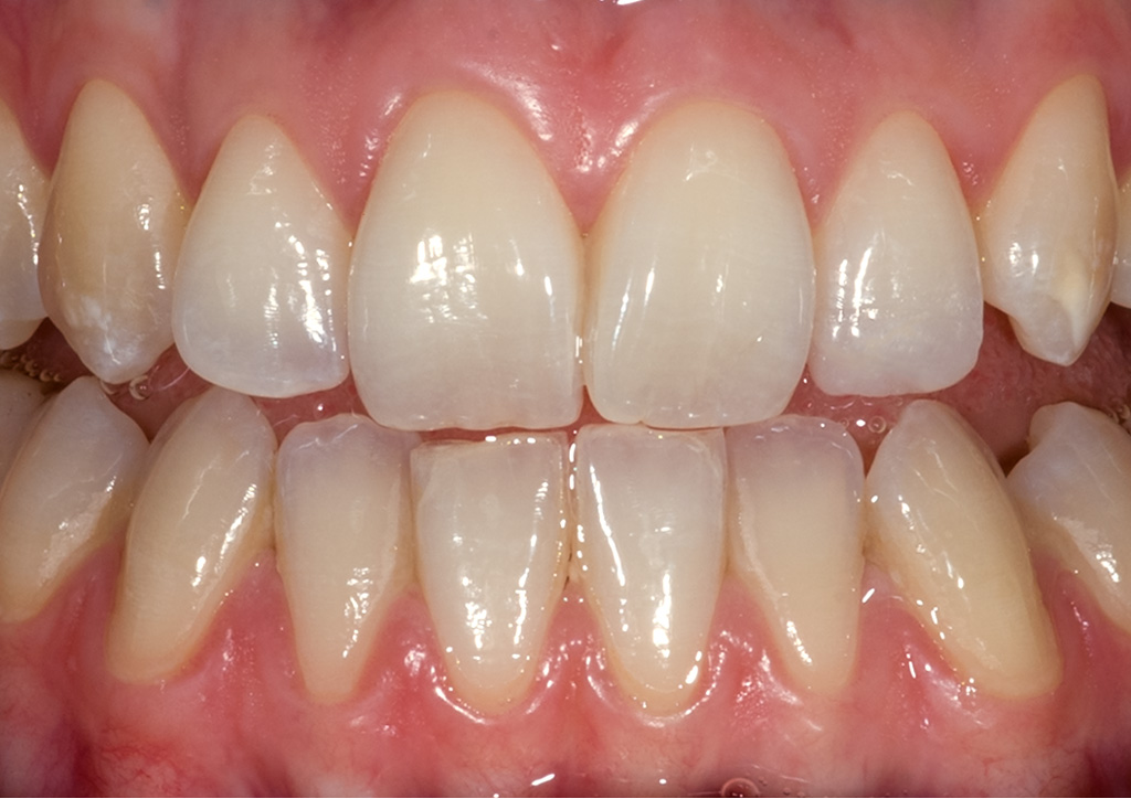
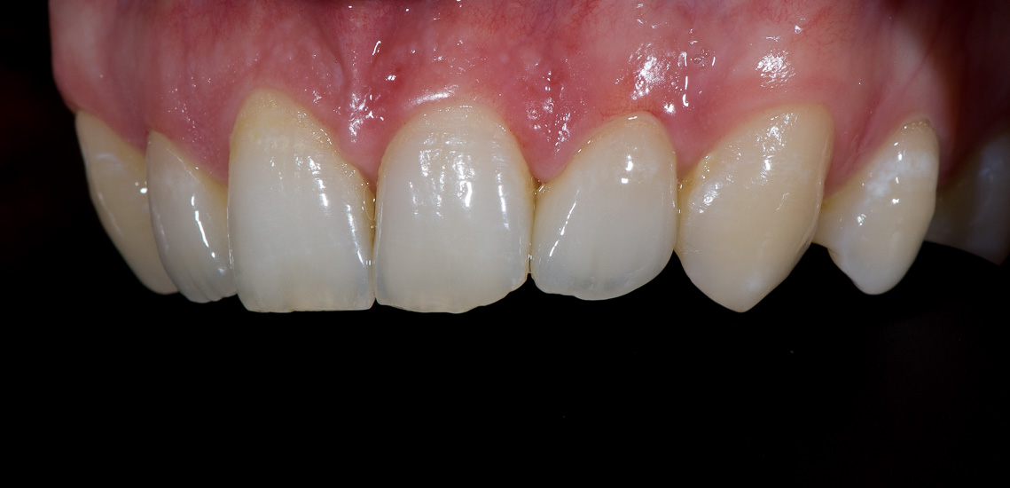
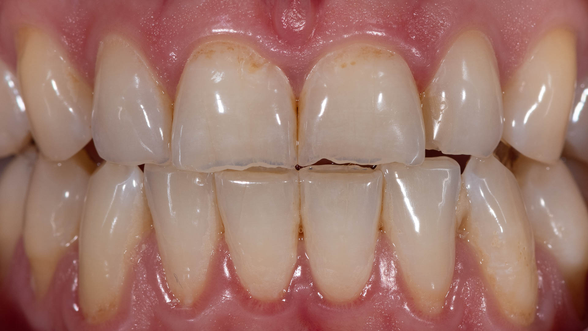
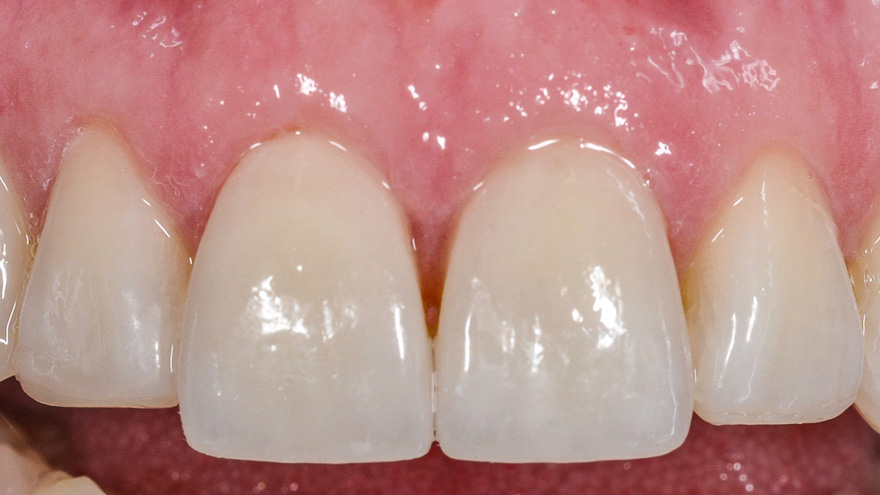
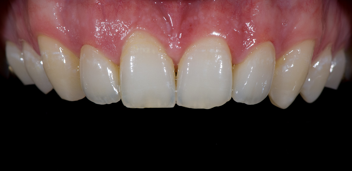
vorher
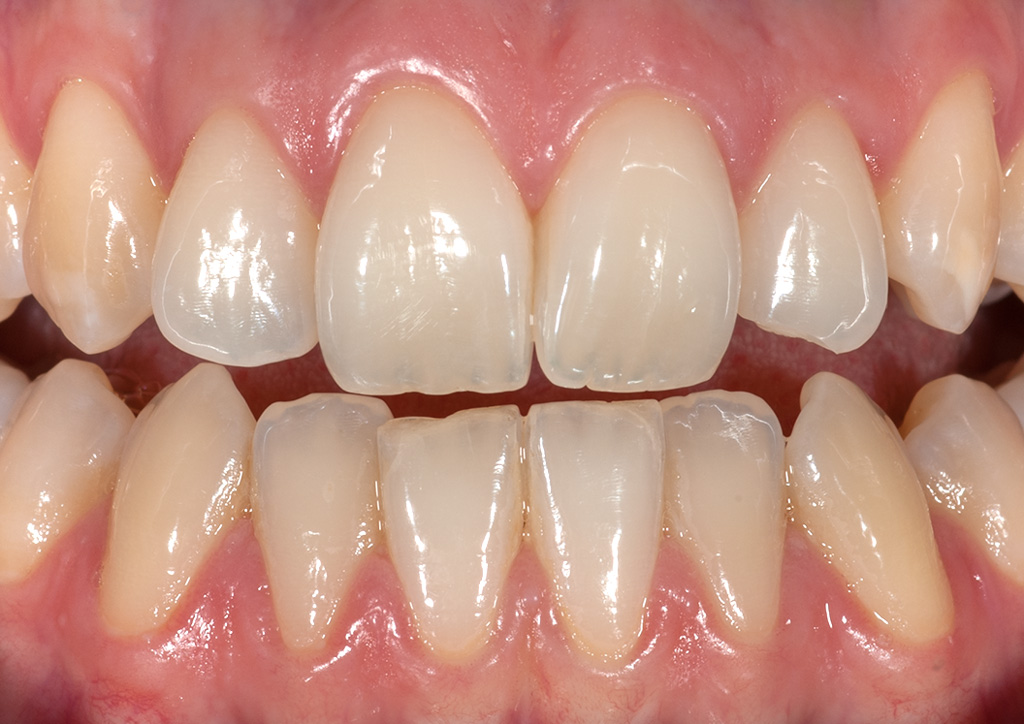
nachher

Vor dem Beginn der Präparation werden auf dem Situationsmodell, mittels Wachs, die zukünftigen Zähne geplant. Die entsprechend nach dem Modell hergestellten Schablonen geben bei der späteren Präparation wichtige Hinweise.

Mit Bildmaterial und Schablonen können wichtige Informationen in den Patientenmund übertragen werden. So vorbereitet ist von Anfang an sichergestellt, dass ein gutes Ergebnis erzielt werden kann.

Zur Kontrolle der Präparation werden im Labor Tiefziehfolien über die neu geplante Form der Zähne gezogen. Mithilfe dieser glasklaren, weichen Folien kann der Zahnarzt*ärztin dann die Präparation im Mund kontrollieren.

Präparation nach Vorlage und Planung im Labor.
Lithium-Disilikat-Glaskeramik eignet sich hervorragend zur Herstellung monolithischer (aus einem Material bestehender) oder verblendeter Restaurationen im Front- und Seitenzahnbereich. Dank seines natürlichen Farbverhaltens und den perfekten Eigenschaften im Drauf- sowie im Durchlicht können eindrucksvolle Resultate erzielt werden.
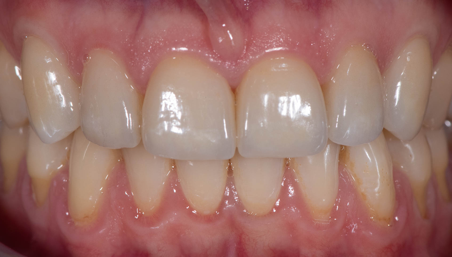
Egal welches Material verwendet wird, vollkeramische Kronen sind eine großartige Option zur Wiederherstellung von abgenutzten oder beschädigten Zähnen. Diese Kronen bieten eine hervorragende Passform und Ästhetik.
Insgesamt bieten vollkeramische Kronen viele Vorteile und sind aufgrund ihrer Haltbarkeit und naturgetreuen Erscheinung eine hervorragende Wahl für jeden, der eine perfekte Lösung für die Wiederherstellung von Zähnen sucht.
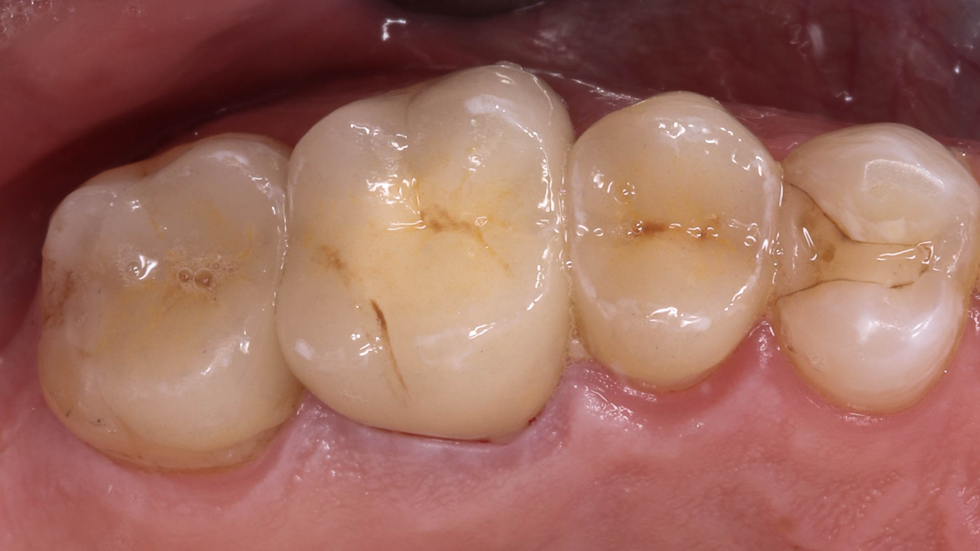
Gepresste monolithische Kronen sind aus einem einzigen Materialblock gefertigt sind. Im Gegensatz zu herkömmlichen Kronen, die aus verschiedenen Schichten bestehen können, besteht eine monolithische Krone nur aus einem einzigen Material, das aus Presskeramik hergestellt wird.


Der Vorteil von monolithischen Kronen besteht darin, dass sie eine bessere Haltbarkeit und eine höhere Widerstandsfähigkeit gegen Bruch aufweisen. Sie sind ästhetisch ansprechend und fügen sich nahtlos in die natürliche Zahnstruktur ein.
Monolithische Kronen sind besonders nützlich für den Ersatz von Backenzähnen, die höheren Belastungen ausgesetzt sind.
Bedingt durch die Härte der Materialien ist jedoch besonders auf eine perfekte Übertragung der Kieferrelation sowie die funktionell richtige Gestaltung der Kauflächen zu achten.
Die Behandlung mit non-invasiven Veneers bedeutet, dass am Zahn selbst keine oder nur sehr wenig Substanz abgetragen wird (auch sog. Veneers ohne Beschleifen). Die Additional Veneers Technik findet ihre Anwendung hauptsächlich im Bereich:
Oder wie im hier beim unten gezeigten Fall, bei dem es nicht sinnvoll ist, einen ganzen Zahn zu Beschleifen. Lumineers sind nur bis zu 0,3 mm dünne Lamellen, die nach vorheriger Reinigung und evtl. Bleichung einfach direkt auf den Zahn aufgeklebt werden.


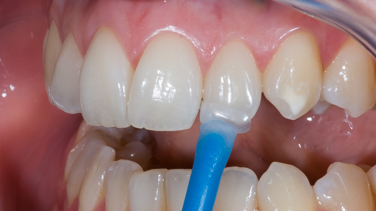
Nach einer ganz kleinen Korrektur der Bruchstelle durch den Zahnarzt wird im zahntechnischen Labor ein kleines Veneer angefertigt, das nur die Bruchstelle bedeckt. Die glasklaren, feinen Lamellen, die bei dem Veneer über die Bruchkante hinausragen, dienen nur der Fixierung beim Einsetzten. Nach dem Verkleben auf dem Zahn finiert der Zahnarzt diese Lamellen mit feinsten diamantierten Scheiben und Gummipolierern. Anschließend wird der Zahn poliert. Das Additional Veener bildet danach mit dem natürlichen Zahn eine homogene, fest verbundene Einheit und ist nicht mehr zu erkennen.


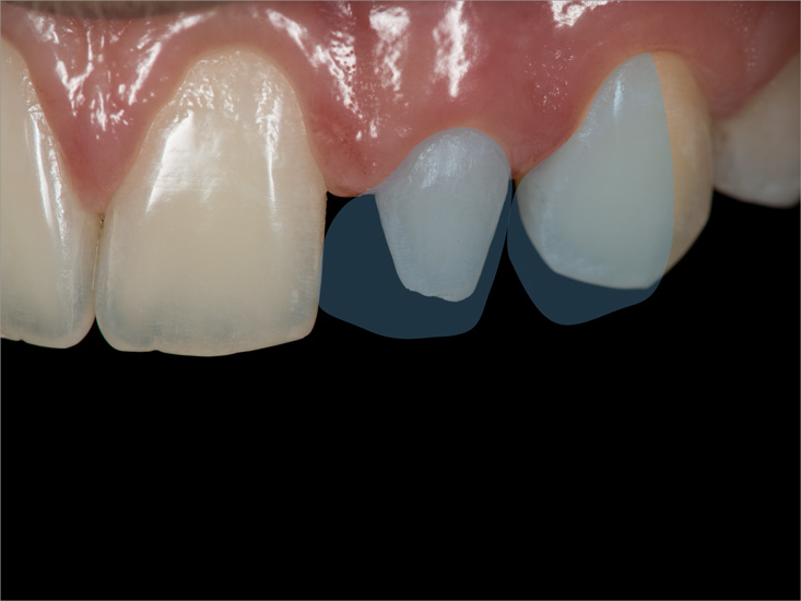
Vielfach kann ein Zapfenzahn ganz ohne Präparation mit einer Krone versorgt werden. Wie in diesem Fall (siehe rechtes Bild) musste jedoch noch eine kleine Lücke zum Eckzahn geschlossen werden. Für solche Fälle stellen Non-präp Veneers eine geeignete Lösung da.
Der unpräparierte Eckzahn erhält ein kleines Non-präp Veneer um die Lücke zum seitlichen kleine Schneidezahn zu schließen. Das Additional Veneer wird verklebt, anschließend finiert und bildet danach eine sichere und feste Einheit mit dem natürlichen Zahn.

Lediglich kleine Überhänge und Bäuche werden parallelisiert. Danach mit einem Retraktionsfaden der Zahnfleischrand zurückgedrängt und abgeformt. Die fertigen Kronen werden danach adhäsiv verklebt.


Lithium-Disilikat-Glaskeramik bietet eine ausgezeichnete Ästhetik in Kombination mit hoher Festigkeit. Daraus ergibt sich ein vielseitiger Einsatzbereich und ein umfassendes Indikationsspektrum. Es sind minimalinvasive, adhäsiv befestigte Kronen mit einer Schichtstärke von 1 mm möglich. Je nach Indikation kann das Material adhäsiv, selbstadhäsiv oder konventionell befestigt werden.