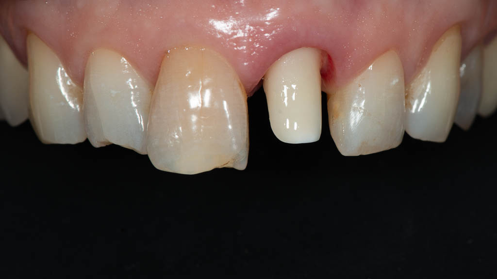
Zahnimplantate sind eine moderne und effektive Möglichkeit, um fehlende Zähne zu ersetzen. Im Gegensatz zu herkömmlichen Zahnersatzlösungen wie Kronen/Brücken oder Prothesen, werden Zahnimplantate fest im Kiefer verankert und bieten somit eine stabilere und langlebigere Lösung. Implantate verbinden sich innerhalb von 3 bis 6 Monaten mit dem sie umgebenden Knochen zu einer festen, äußerst belastungfähigen Trägereinheit (Osseointegration).
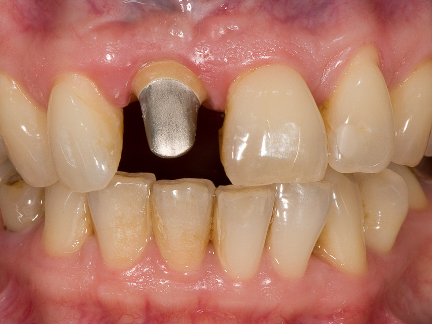
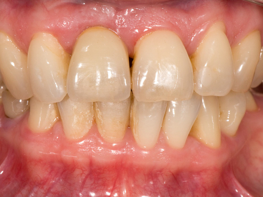
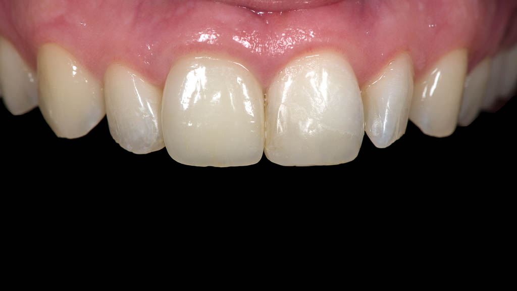
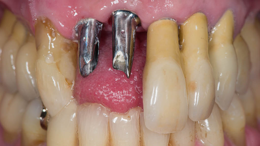
Ein Zahnimplantat (üblicherweise aus Titan, aber auch aus modernen keramischen Werkstoffen) besteht aus einer künstlichen Zahnwurzel, die in den Kieferknochen eingesetzt wird. Auf diese künstliche Wurzel wird dann die Krone, die den fehlenden Zahn ersetzt, aufgesetzt. Implantate können sowohl für einzelne, als auch für mehrere Zähne eingesetzt werden.
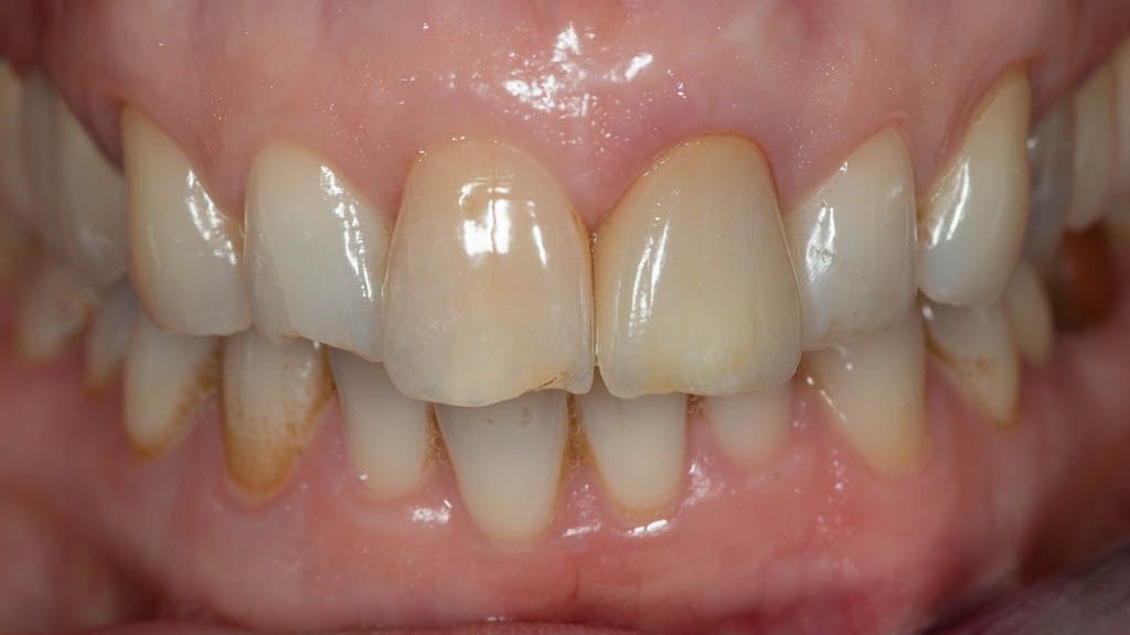
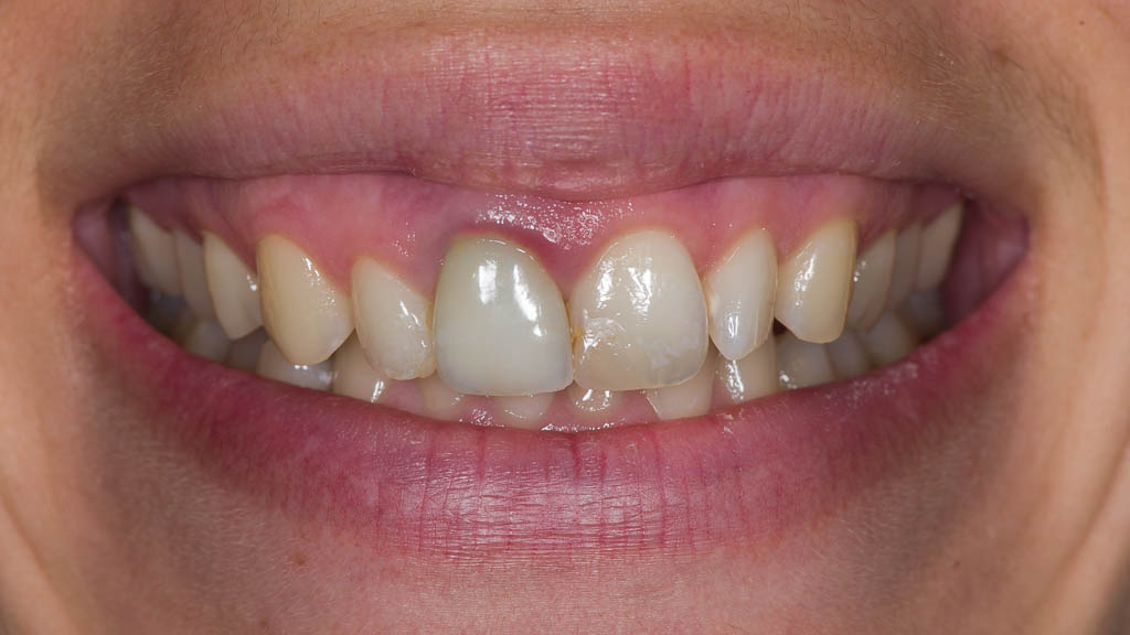
Die Vorteile von Zahnimplantaten liegen auf der Hand: Sie bieten eine ästhetisch ansprechende und natürliche Lösungen für fehlende Zähne, sie sind langlebig und sie unterstützen die Gesundheit des Kieferknochens, indem sie dessen Stabilität und Struktur erhalten.
Wir verarbeiten Implantate aller bekannten Markenhersteller, wie z. B. Straumann, Medentika, Camlog, Astra, Friadent, Nobel Biocare, etc.
















